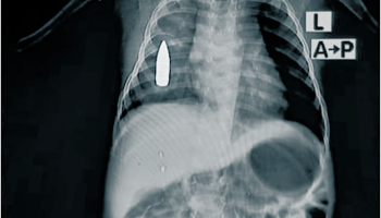
El 16% de los heridos de guerra atendidos en un hospital del sur de Jartum son niños
Algunos procedimientos de cirugía no son posibles por el bloqueo de material quirúrgico y la peligrosidad de las rutas impide derivar pacientes a otros centros
Copia y pega esta URL en tu sitio WordPress para incrustarlo
Copia y pega este código en tu sitio para incrustarlo