Cuando todavía no habían transcurrido dos meses desde la declaración del estado de pandemia, en este mismo medio alertábamos de la necesidad de estudios epidemiológicos que evaluaran si las personas con patología pulmonar crónica por amianto corrían mayor riesgo de sufrir enfermedad grave por covid-19.
El cáncer de pulmón, que representa casi un 25 % de todas las muertes por tumores malignos, es con diferencia la causa principal de fallecimiento por cáncer. Cada año, hay más fallecimientos por cáncer de pulmón que por sus equivalentes de colon, mama y próstata juntos, y afecta principalmente a colectivos de edad avanzada. La mayoría de los diagnosticados tiene 65 años o más, y un número muy pequeño menos de 45. La edad media de las personas en el momento del diagnóstico es de aproximadamente 70 años.
Por ejemplo, cada veinte minutos muere en España una persona por esta causa, una enfermedad de la que en España se diagnosticaron el año pasado casi 30 000 nuevos casos. Entre el 8 y el 12 % de ellos se deben a la exposición al amianto, lo que significa que cerca de 3 000 fallecidos españoles por cáncer de pulmón serán víctimas del amianto el año en curso.
¿Qué es exactamente la absestosis?
La patología pulmonar crónica por amianto o asbestosis es una fibrosis pulmonar que provoca insuficiencia respiratoria. No hay que confundirla con la mal denominada “asbestosis pleural”, que consiste en unos engrosamientos fibrosos no tumorales de la pleura provocados por las fibras de amianto llamados placas pleurales; ni con la más severa pero también benigna fibrosis pleural difusa.
Tampoco se debe usar el vocablo “asbestosis” con carácter genérico para referirse al conjunto, o a cualquiera, de otras enfermedades provocadas por el asbesto o amianto.¡

La asbestosis stricto sensu es una auténtica neumoconiosis, es decir, la proliferación incontrolada de tejido conectivo fibroso en el pulmón. O, lo que es lo mismo, una fibrosis difusa cicatricial del tejido pulmonar provocada por la inhalación de amianto. El tejido pulmonar deformado y rígido hace que sea más difícil que los pulmones funcionen correctamente. A medida que la fibrosis pulmonar avanza, el paciente presenta cada vez más dificultades respiratorias.
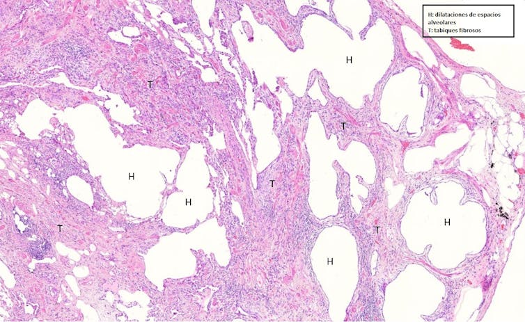
En forma de panal de abeja
La asbestosis se inicia con una fibrosis en torno a los bronquiolos respiratorios y los conductos alveolares, desde donde se extiende hasta afectar el resto del tejido adyacente. El tejido fibroso deforma la arquitectura del órgano y crea lo que se conoce como un patrón morfológico en “panal de abeja”, también denominado panalización. Este patrón es inespecífico, por lo que la historia de exposición al amianto es la clave para el diagnóstico certero de la asbestosis.

A diferencia del resto de enfermedades provocadas por el amianto, la asbestosis es una enfermedad de depósito, una neumoconiosis: la acumulación de partículas es la que físicamente condiciona la patología y, por eso, es la que precisa una mayor magnitud de exposición.
Casi siempre vinculada con el ámbito laboral
Así como el mesotelioma y otros tumores malignos provocados por el amianto pueden surgir tras exposiciones ambientales de origen no ocupacional, la asbestosis está vinculada prácticamente siempre a la exposición laboral. Esta es del orden de cien o mil veces superior a la exposición ambiental no asociada al trabajo.
De hecho, hasta un 10 % de los trabajadores que experimentan un contacto intenso con el amianto desarrollan asbestosis, la única enfermedad provocada por ese material para la que se ha establecido una dosis mínima acumulada de exposición de 25 fibras/ml/año. Por debajo de ella es muy improbable que aparezca.

Aumenta el riesgo de hospitalización y muerte
La asbestosis es una EPID, acrónimo que engloba todas las patologías fibrosantes difusas del intersticio pulmonar con independencia de su causa. Varias revisiones científicas alertan del mayor riesgo de hospitalización, ingreso en UCI y muerte por covid-19 en los pacientes con una patología EPID de fondo. En un estudio llevado a cabo con más de ocho millones de pacientes covid-19, los clasificados en el grupo EPID presentaron el doble riesgo de ser hospitalizados.
En una serie de 8 070 pacientes coreanos con covid, el porcentaje de individuos que presentaban una EPID previa duplicó la proporción de EPID en la población general. Esos pacientes con EPID previa precisaron oxigenoterapia en un mayor porcentaje respecto de los que no la tenían (46 % vs. 12 %), ingresaron más en UCI (10,5 % vs. 2,9 %), su tasa de intubación para ventilación mecánica fue seis veces mayor (12 % vs. 2 %) y presentaron una mayor mortalidad (43,3 % vs. 13,1 %). Finalmente, en el metaanálisis de 135 263 pacientes con covid-19 procedentes de 15 estudios, la presencia de EPID previa casi triplicó el riesgo de muerte.
A partir de todos estos estudios parece congruente un mayor riesgo de fallecimiento por covid entre los pacientes con asbestosis.
Las cifras en España
¿Se ha visto ya reflejado este hecho en el exceso de mortalidad en España en 2020? La respuesta aparece en la siguiente tabla elaborada con datos del INE.

En 2020 constaba el código internacional CIE-10 para la asbestosis (J61) en 91 muertos, quince de los cuales habían fallecido por COVID confirmada. Esos 91 fallecidos representan un incremento del 41 % respecto de la media de muertes por idéntica causa en 2018 y 2019.
Como el exceso de mortalidad en 2020 se concentró en personas de edad avanzada, es preciso controlar este efecto, ya que la asbestosis también es más frecuente en mayores. La edad media del grupo de 91 fallecidos con esta enfermedad en 2020 fue de 82 años, con un intervalo de edad mínima-máxima entre 64 y 95. El exceso de mortalidad por todas las causas en esa horquilla de edad para 2020 fue del 29 %, por lo que todavía queda un margen de exceso del 12 % imputable a la asbestosis.
En conclusión, todo parece indicar que la asbestosis es una patología que predispone al fallecimiento en caso de enfermar por covid, por lo que los pacientes que la padecen deberían ser considerados colectivo de riesgo. Y aunque la vida de las víctimas del amianto es ya de por sí más corta, puede acabarse cualquier día contabilizada como una más de las muertes de la pandemia que todavía nos asola. Una vez más serán víctimas ignoradas.
Manuel Peinado Lorca. Catedrático de Universidad. Director del Real Jardín Botánico de la Universidad de Alcalá, Universidad de Alcalá
José Miguel Sanz Anquela. Profesor Asociado en Ciencias de la Salud. Departamento de Medicina y Especialidades Médicas, Universidad de Alcalá.
Los autores agradecen a la Subdirección General de Difusión Estadística del INE la celeridad y facilidades brindadas para obtener los ficheros microdata.


